More stories
-
Exploring Acupuncture Benefits For Autism Through Target Trial Emulation
Introduction The integration of modern methodologies and traditional practices in healthcare is an evolving topic that continues to gain traction. Recently, the application of target trial emulation (TTE) to evaluate acupuncture combined with rehabilitation therapy for children with autism spectrum disorder (ASD) has sparked considerable discussion. This editorial offers an opinion on this emerging research […] More
-
Legislators Weigh Alternative Approaches to Funding High Cost Medications
Examining the High-Cost Drug Funding Debate: An Opinion Editorial State legislators across the nation are currently embroiled in a heated discussion regarding the use of alternative funding programs for prescription drug benefits. These programs are designed to help manage the steep costs of expensive medications. However, they come with their own set of tricky parts, […] More
-
Hot
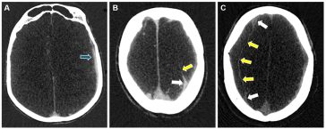
Revolutionizing Chronic Subdural Hematoma Care Through Advanced Diagnostics and Treatment
Chronic Subdural Hematoma: A Shifting Landscape in Neurosurgical Care The management of chronic subdural hematoma (CSDH) has been a topic of heated discussion in the healthcare community for many years. With an annual incidence that ranges from 1.7 to 20.6 per 100,000 people—and climbing due to an aging global population and increasing use of anticoagulant […] More
-
Hot
Emerging Breakthroughs in Prostate Cancer Care with PSMA Theranostics and PARP Inhibitors
Online Security in Modern Healthcare: More Than Just a Verification Process In today’s digital age, healthcare platforms have become a central hub for patients, professionals, and researchers alike. As more people rely on online systems for medical consultations, health records, and research updates, the importance of robust cybersecurity measures grows every day. One of the […] More
-
Trending Hot
Understanding HER2 Status Unlocks New Treatment Options For Metastatic Breast Cancer
Digital Privacy and Personal Health: Two Sides of the Same Coin In today’s interconnected world, where advanced technology melds with both healthcare journalism and digital marketing, we are constantly confronted with tricky parts and tangled issues that affect how our personal data is used. Whether it’s an intimidating cookie policy on a website or the […] More
-
Johns Hopkins Kimmel Cancer Center Gains Forty Million to Propel Cancer Discoveries
Securing Trust: The Intersection of Modern Medicine and Cybersecurity Modern medicine is undergoing a transformative shift—not only in treatments and diagnostics but also in the way healthcare providers connect with patients online. In the digital era, trusted institutions like Johns Hopkins Medicine are leveraging robust security measures to reassure their audiences. In this opinion editorial, […] More
-
Breakthrough advances in cancer treatment with novel compounds
Reimagining Cancer Treatment: A Bold New Frontier in Modern Medicine Recent breakthroughs at the University of Florida have set off waves of excitement in the healthcare community as researchers introduce innovative compounds that enhance the response of cancer cells to treatment. This pioneering work is reshaping our understanding of how modern medicine can target deadly […] More
-
Refining Your Aim Rediscovering Value in the Imperfection of a Pitch
Understanding Legal Restrictions on Digital Healthcare Platforms In our digital era, where information about modern medicine, alternative treatments, nutrition, disease conditions, and fitness is more accessible than ever, encountering a message such as “451: Unavailable due to legal reasons” can be both confusing and disheartening. This message, usually associated with legal blocks and privacy concerns, […] More
-
A Bold New Era of Value Based Cancer Care
Rethinking Cancer Care: Embracing Whole-Person Solutions At the recent Value in Cancer Care Summit held at Seattle’s Bell Harbor International Conference Center, experts and advocates gathered to talk about the many tangled issues in cancer care. They discussed ways to overcome the overwhelming barriers that both patients and providers face on a daily basis. In […] More
-
Mecbotamab Vedotin Unlocks New Hope for Extended Survival in Treatment Refractory Soft Tumors
Breaking Ground in Soft Tissue Sarcoma Treatment: A Closer Look at Mecbotamab Vedotin The field of oncology never stops evolving, and recently, a new chapter has been written with the promising data on Mecbotamab Vedotin (Mec‑V). As an antibody‐drug conjugate (ADC) targeting the AXL protein, Mec‑V has shown encouraging potential in extending survival for patients […] More
-
Revitalized T Cells Ignite a New Era of Cancer Immunity
Revitalizing T Cells: A New Era in Cancer Immunotherapy In recent years, the fight against cancer has witnessed revolutionary advances as scientists strive to harness the body’s own immune system. The latest breakthrough in reawakening exhausted T cells has the potential to supercharge cancer immunity by addressing the tricky parts of immune cell fatigue. As […] More
-
Empowering Innovations in Oncology with Dr Petros Grivas at Fred Hutchinson Cancer Center
The Transformation of Cancer Care: A Personal Reflection In recent years, the field of oncology has experienced a remarkable evolution, reshaping the way patients are treated and how research is conducted. As I reflect on this journey, I find that the interplay between modern medicine, alternative approaches, and a focus on nutrition, disease conditions, and […] More
-
India and Germany Elevate Traditional Medicine Collaboration in Berlin
Integrative Healthcare: Aligning Ancient Wisdom with Modern Practices In an era when the worlds of modern medicine and age-old healing traditions are increasingly overlapping, the recent collaboration between India and Germany in Berlin represents a promising step forward. The meeting, which was held from November 18 to November 20, 2025, brought together experts and policymakers […] More
-
Unlocking the Secrets of the Placebo Effect in Traditional Chinese Medicine Nursing Trials
Understanding the Placebo Effect in Traditional Chinese Medicine Trials The modern healthcare landscape is evolving at a remarkable pace, and many experts are now taking a closer look at how traditional practices can fit into today’s treatment models. One key area that has sparked plenty of interest is the placebo effect observed in Traditional Chinese […] More
-
Rising Veterinary Bills and New Hope for Pet Survival
The Surge in Veterinary Expenses: A Mixed Bag of Progress and Price Hikes The rapid rise in veterinary bills has become a hot topic among pet owners across the region. What started as a simple inquiry on a social media platform has now snowballed into one of the most engaging conversations online, with hundreds of […] More
-
Tai Chi Emerges as a Natural Alternative to Talk Therapy for Insomnia Relief
Understanding the Digital Barrier: Legal Restrictions in Healthcare Content The landscape of online healthcare journalism is constantly evolving, and it is not uncommon to run into situations that block access to certain content due to legal reasons. Recently, many users have encountered a message stating, “451: Unavailable due to legal reasons.” This notice, particularly prevalent […] More















